У двух жительниц Казахстана, которые обратились к врачам с жалобами на подозрительные образования в молочных железах, нашли ленточных червей Echinococcus. Об этом сообщили в пресс-службе КазНМУ имени Санжара Асфендиярова, передает корреспондент Tengrinews.kz.
Как отмечают спецалисты, это очень редкие случаи с зарегистрированной частотой заболеваемости 0,27 процента. Они трудно диагностируются.
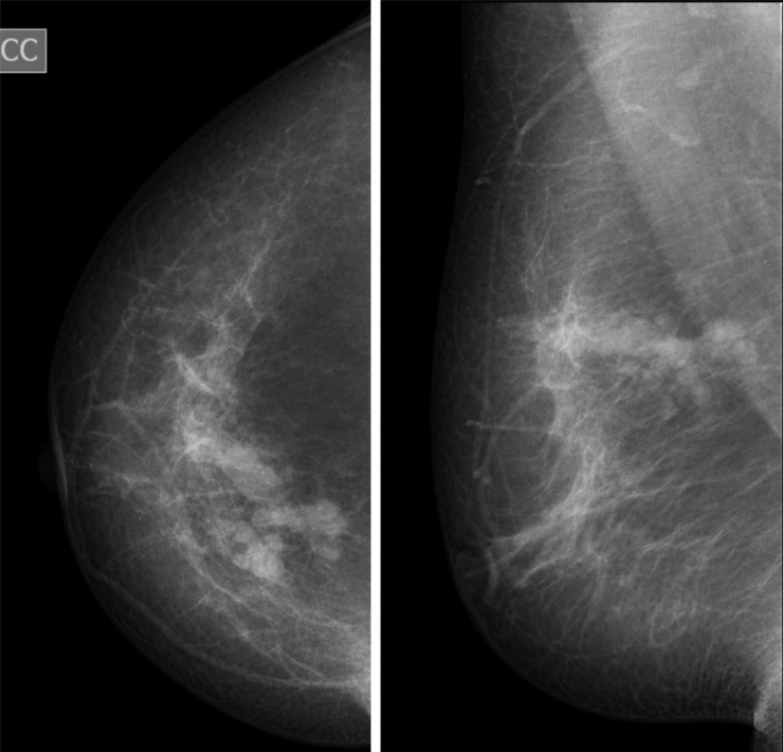
"Первый конкурирующий диагноз, который выставляется пациенткам, - это рак молочной железы или объемное образование, BI-RADS 4", - пишут исследователи.
Наиболее частой локализацией эхинококковых кист в организме человека являются печень (75 процентов) и легкие (15 процентов); редкой локализацией - мышцы (4 процента), почки (2 процента), селезенка (2 процента), кости (1 процент) и другие органы. Молочная железа может поражаться данным паразитом изолированно или в сочетании с поражением других органов, чаще всего с эхинококкозом печени.
В одном из случаев 29-летняя женщина обратилась в поликлинику по месту жительства с жалобами на объемное образование в правой молочной железе. Направлена на обследование - маммографию и УЗИ молочных желез. Выставлено подозрение на рак молочной железы. Но после обследования маммолога клеток опухолей не нашли. Отмечается, что пациентка длительное время состояла на учете по поводу эхинококкоза печени и за полгода до событий была оперирована по месту жительства по поводу эхинококкоза печени. Пациентка направлена в Казахский научно-исследовательский институт онкологии и радиологии (КазНИИОиР) для дальнейшего обследования, где и выявили наличие паразитов в груди. Было рекомендовано оперативное лечение.

Во втором случае 50-летняя женщина была направлена на рак правой молочной железы сразу в КазНИИОиР. У нее за пять месяцев до этого была выявлена эхинококковая киста печени, по поводу которой проведено оперативное лечение - резекция печени. Пациентка консультирована маммологом, рекомендовано оперативное лечение.

Как пишут авторы исследования, выявить эхинококкоз в груди помогла информация о наличии этого заболевания ранее. В обоих же случаях болезнь "скрывалась" под видом рака молочной железы. При этом на маммограммах патология не укладывалась в классическую картину патологических состояний (рак, киста, фиброаденома, филлоидная опухоль). Также врачи отмечают, что в обоих случаях образования были безболезненными при пальпации.
"Эхинококкоз молочной железы - редкая и малоизученная патология, о которой необходимо помнить при диагностике заболеваний молочной железы, в первую очередь в эндемичных районах по этому заболеванию", - резюмируют специалисты. По их данным, такими регионами в Казахстане являются южные части страны.
Важное - сразу в ваш Telegram! Подписывайтесь на канал t.me/tengrinews