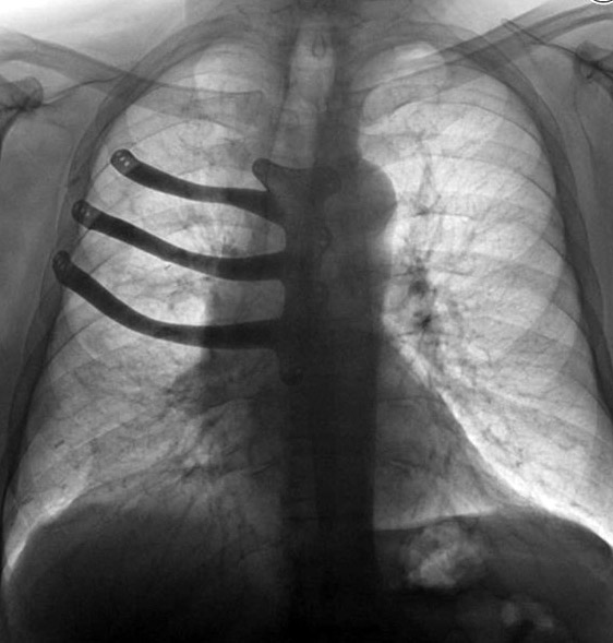
Врачи госпиталя Моррисон в британском городе Суонси реконструировали с помощью 3D-принтера грудную клетку своего пациента. 71-летнему Питеру Мэггзу из-за раковой опухоли пришлось удалить половину грудной кости и три ребра, сообщает ABMU Health Board.
Как правило, в таких случаях хирурги отливают протез из медицинского цемента во время операции, но технология 3D-печати позволила изготовить имплант из титанового сплава и сократить время операции на два часа. При изготовлении протеза использовалась компьютерная томография грудной клетки Мэггза. Это один из первых случаев печати подобных протезов в Британии.

Операция длилась восемь часов. По словам врачей, имплант сел идеально, и они планируют практиковать такое протезирование и в будущем.

Фото с сайта wales.nhs.uk

Пациент Питер Мэггз (в центре). Фото: ABMU Health Board
Мы отправим новости на ваш телефон. Подписывайтесь в Telegram @tengrinews